Non-GI Foreign Bodies

non-giforeign-bodies

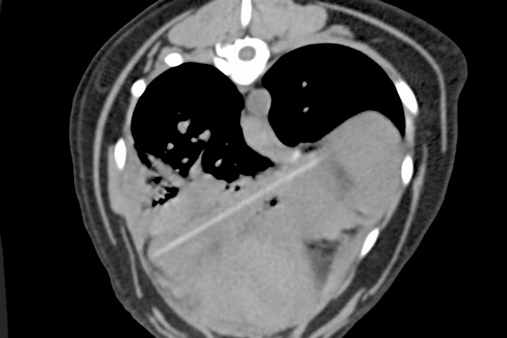
Anna Groth, RCVS and European Specialist in Diagnostic Imaging at NDSR, gives an overview of different imaging modalities used in the detection of non-GI and non-respiratory foreign bodies including how to recognise them, what they are and where they may be as well as how to manage treatment and the potential hazards.

Non-GI Foreign Bodies Webinar

Case Advice or Arranging a Referral

If you are a veterinary professional and would like to discuss a case with one of our team, or require pre-referral advice about a patient, please call 01883 741449Alternatively, to refer a case, please use the online referral form

About The Discipline

Diagnostic Imaging

3- diagnostic imaging

Need case advice or have any questions?

If you have any questions or would like advice on a case please call our dedicated vet line on 01883 741449 and ask to speak to one of our Diagnostic Imaging team.
Advice is freely available, even if the case cannot be referred.

Diagnostic Imaging Team

Our Diagnostic Imaging Team offer a caring, multi-disciplinary approach to all medical and surgical conditions.

Anna Groth

DVM DipECVDI MRCVS

Andrew Denning

BVetMed CertVR DVDI MRCVS

Mark Coia

BVMS DipECVDI MRCVS

Cristóbal López Jiménez

DVM PGCertSAM MRCVS